Prótesis

Los avances en la prótesis nos permiten actualmente rehabilitar bocas con ausencia total o parcial de dientes de manera cómoda y económica para devolver a nuestros pacientes la confianza al masticar y sonreír.

Existen diferentes tipos de prótesis, ya que éstas pueden ser fijas o removibles (de quitar y poner).

Dentro de las prótesis fijas, hay diferentes tipos en función de si se sujetan sobre dientes naturales (como las carillas y las coronas) o sobre implantes.

Y a su vez, las removibles también pueden sujetarse sobre dientes (como las prótesis esqueléticas), sobre encía (prótesis compkleta) o sobre implantes (sobredentaduras).

En Clínica Hervás trabajamos conjuntamente con laboratorios de prótesis con la tecnología más actual. De esta manera evitamos las largas esperas entre citas y podemos tener un contacto directo con los protésicos para modificar cualquier detalle al momento consiguiendo resultados más precisos y satisfactorios para nuestros pacientes.

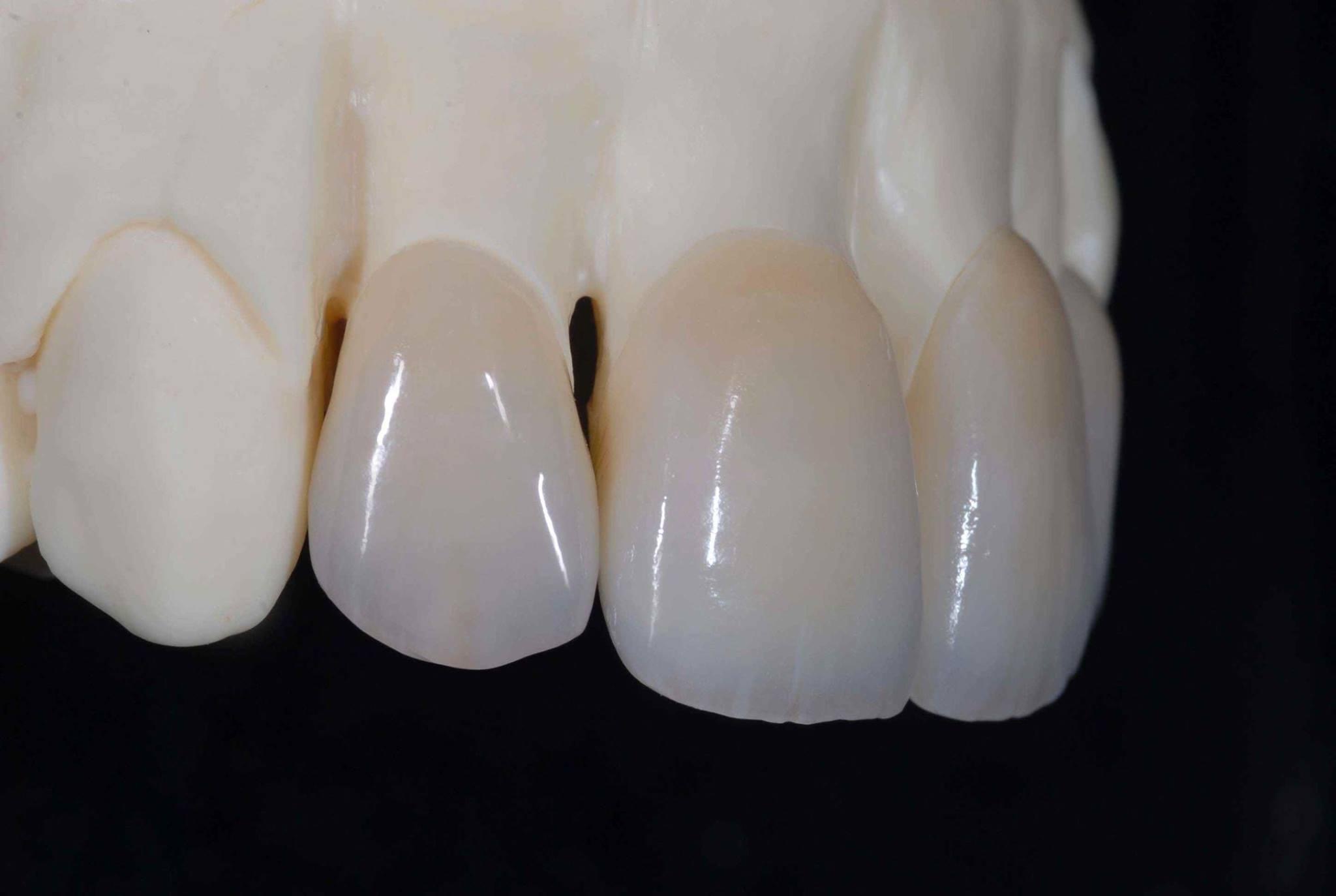
Caso clínico realizado en Clínica Hervás

Antes
Déspues

Caso 1