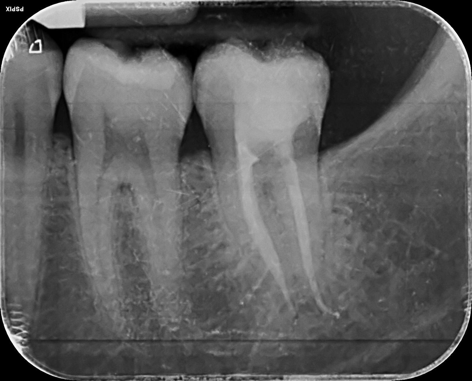
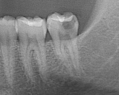
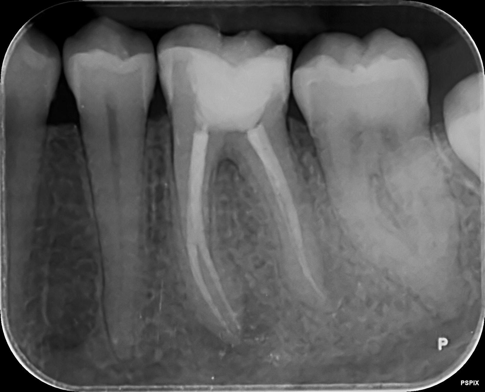
Endodoncia

La endodoncia consiste en la retirada de caries y desinfección de los conductos del diente (eliminar el nervio afectado) y proceder a obturarlos con un material de relleno.

Realizar la endodoncia nos evita que se formen abscesos (flemones), además de alargar la vida de nuestros dientes.

Tras la realización de la endodoncia se puede restaurar el diente de manera convencional con composite o colocar una restauración indirecta (como una corona) en función del caso.

También existen tratamientos como la reendodoncia y la cirugía apical en los que se elimina la infección en un diente que ya había sido previamente endodonciado.

Casos clínicos realizados por la Dra. María Medina

Antes
Déspues

Caso 1

Caso 2