Implantología

La implantología nos permite reponer dientes perdidos de una manera cómoda, segura y eficaz.
Nos ofrece la posibilidad de colocar piezas de manera fija, con una estética excelente, sin tener que tratar los dientes adyacentes y con una tasa de éxito altísima.

Nuestro equipo de cirugía cuenta con más de 15 años de experiencia en el sector; tanto en la colocación de implantes como en la realización de cirugías de injerto óseo y gingival, elevación de seno, etc.

Además, en Clínica Hervás realizamos cirugía guiada, en la cual planificamos digitalmente la intervención, lo que nos permite realizar procedimientos menos invasivos, con mejor postoperatorio para el paciente y con un resultado 100% preciso y predecible.

Contamos con las últimas herramientas en tecnología, lo que nos permite garantizar que el paciente pueda disponer de una a la realización de cualquier tratamiento preservando de esa manera su estética.

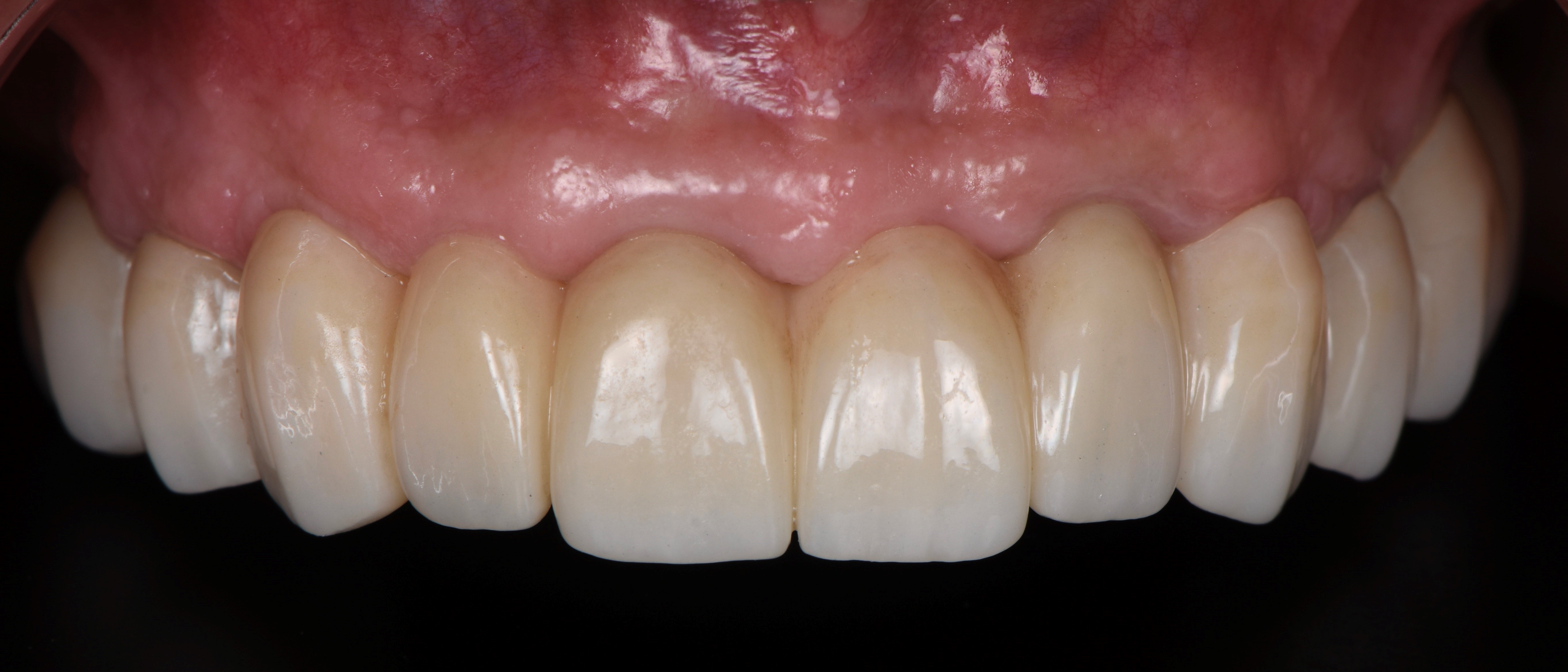
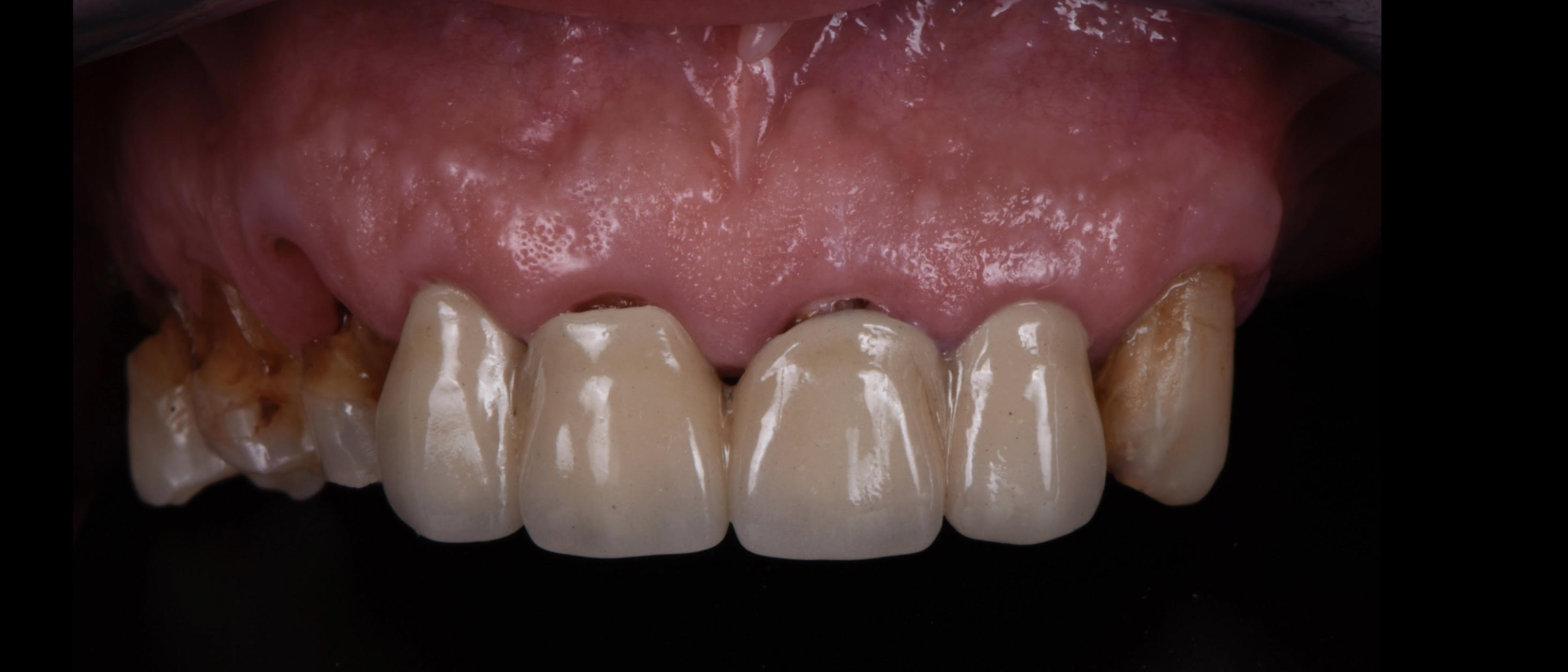
Casos clínicos realizados por el equipo de cirugía

Antes
Déspues

Caso 1

Caso 2

Video explicativo sobre la colocación de implantes