Ortodoncia

La ortodoncia es la especialidad que nos permite corregir la estética y función de los dientes colocándolos en su lugar idóneo de la boca. Se realiza tanto en niños como en adultos, y existen diferentes tipos:

  • Ortodoncia convencional: mediante la colocación de brackets metálicos que van unidos de manera fija al diente y conectados entre sí por arcos en función del tratamiento de cada paciente
  • Ortodoncia estética: se realiza con brackets transparentes de zirconio o porcelana
  • Ortodoncia invisible (Invisalign®): consiste en el uso de diferentes alineadores dentales (fundas transparentes) prácticamente imperceptibles y que el paciente se retira en cada comida para poder mantener una higiene oral correcta y sencilla.

Nuestra ortodoncista, la Dra. Andrea Pozuelo, te aconsejará qué tratamientos son los mejores para tu caso y la duración de los mismos, para que puedas escoger la alternativa que más se adapate a tus necesidades.

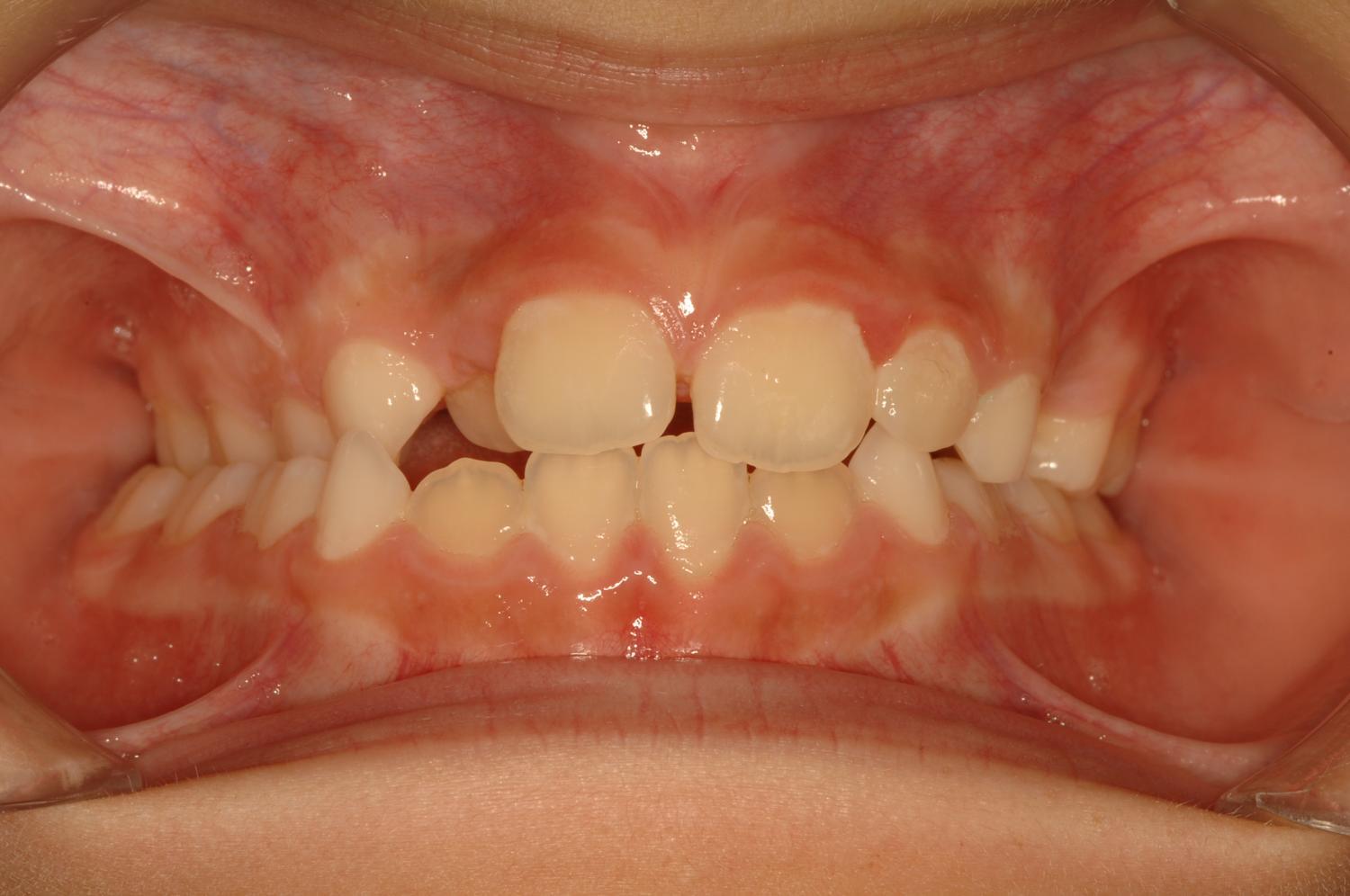
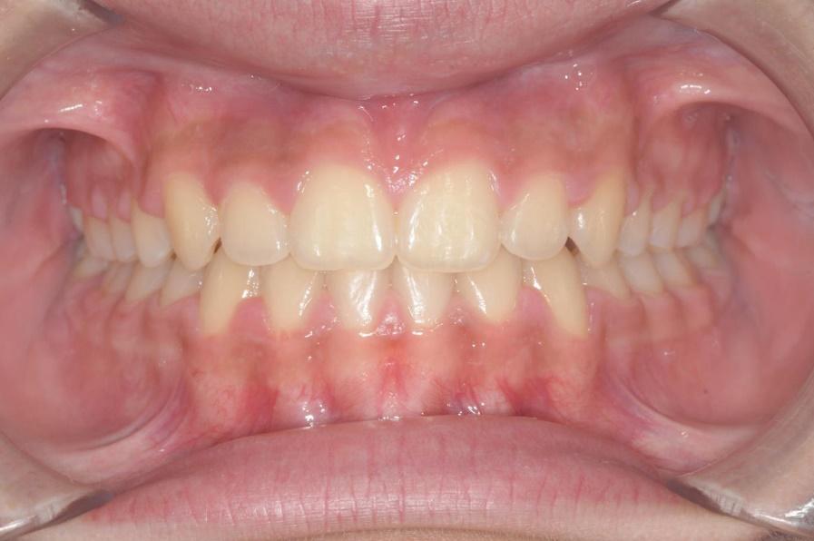
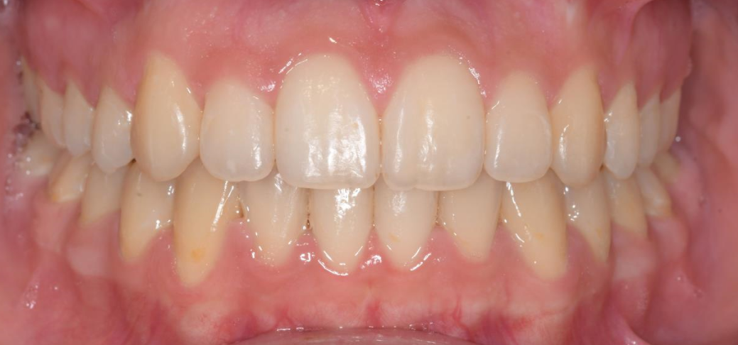
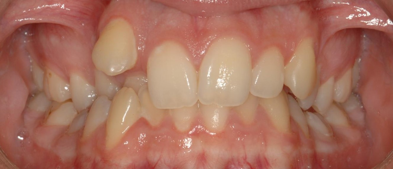
Casos clínicos realizados por la Dra. Andrea Pozuelo

Antes
Déspues

Caso 1

Caso 2