Periodoncia

Una de las partes más importantes de la boca son las encías. La periodoncia se encarga de su prevención, tratamiento y mantenimiento, de manera que podamos tener unos dientes sanos que nos duren muchos años.

Cuando cuidamos las encías y todo el conjunto de estructuras alrededor del diente evitamos que estos se muevan y se caigan.

En Clínica Hervás creemos firmemente que el mejor tratamiento es una buena prevención. Para ello, podemos realizar limpiezas dentales, los raspados radiculares (conocidos como curetajes) y demás tratamientos en función de las necesidades del paciente.

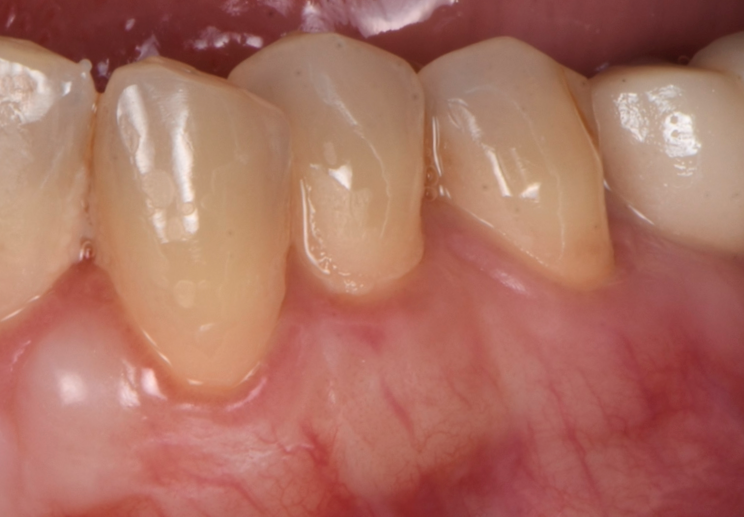
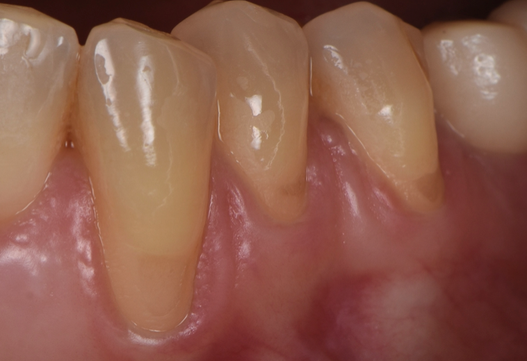
Una vez que hemos perdido encía y se ha quedado la raíz dental expuesta, podemos realizar cirugía mucogingival para volver a recuperar la estética y salud de nuestro periodonto.

Casos clínicos realizados por el Dr. Alfonso García

Antes
Déspues

Caso 1

Caso 2